Entenda melhor sobre a histologia, como ela pode ser cobrada nas provas, os principais assuntos abordados pela disciplina e preparação. Bons estudos!
A histologia inicia como objeto de estudo na ciência através do anatomista e cirurgião francês Marie François Xavier Bichat, em 1800. Para ele, compreender o porquê das diferentes texturas de partes do corpo humano foi fascinante.
Mas afinal, qual é o lugar e importância da Histologia para a medicina e como se preparar para as provas da disciplina?
Importância da Histologia no campo médico
Com o avanço da tecnologia, com a criação de máquinas cada vez mais especializadas no estudo do meio microbiológico, a histologia passou a ganhar ainda mais destaque diagnóstico.
Hoje, a histologia e a patologia andam de mãos dadas na medicina. Ambas, quando unidas, são fundamentais para o diagnóstico médico. A análise microscópica de amostras de tecidos (biópsias) permite a identificação de alterações patológicas, como tumores, inflamações, infecções e outras condições, que são cruciais para o tratamento adequado do paciente.
Mas a histologia não se aplica apenas aos aspectos micro. Somente após o entendimento acerca dos diferentes tipos de tecidos humanos foi possível planejar abordagens cirúrgicas. Assim, a escolha de suturas, simples ou anostomóticas, ou mesmo clipes sintéticos podem ser mais assertivas.
Somado a isso, o estudo histológico dos tecidos e órgãos ajuda a compreender a resposta do corpo a diferentes fármacos e terapias. Essas informações são essenciais para o desenvolvimento de medicamentos mais eficazes e tratamentos personalizados para pacientes com diversas condições médicas.
Relação entre Histologia e Anatomia
A histologia e a anatomia possuem uma relação estreita e complementar.
A anatomia estuda o corpo em diferentes níveis de organização, desde o nível macroscópico (sistemas de órgãos, órgãos, tecidos) até o nível microscópico (células e estruturas celulares). A Histologia é responsável por fornecer informações detalhadas sobre a organização celular e tecidual em um nível microscópico.
Ainda, a relação entre histologia e anatomia permite um conhecimento mais completo e abrangente da função do corpo humano. Através da histologia, é possível entender processos fisiológicos que impactam diretamente na anatomia. Como exemplo disso, temos a produção de ácido clorídrico, cujo impacto sobre a mucosa gástrica só pode ser explicado por meio da histologia.
Tecidos do Corpo Humano: princípios da histologia
A histologia é uma ciência vasta. Seria impossível abordar todos os tipos de tecidos humanos, suas particularidades e funções. No entanto, podemos nos ater aos 4 principais tipos de tecidos, sendo eles:
- Epitelial;
- Conjuntivo;
- Muscular;
- Nervoso.
Tecido epitelial
O tecido epitelial é formado por células justapostas, sem uma matriz extracelular significativa. Tem como função o revestimento de superfícies internas e externas do corpo, formando barreiras de proteção e facilitando a absorção, secreção e percepção sensorial. Pode ser encontrado na pele, revestimento dos órgãos internos, membranas mucosas e glândulas.
Na imagem abaixo vemos um epitélio de transição. Perceba como as células são estreitamente unidas.
Tecido conjuntivo
Com relação ao tecido conjuntivo, é composto por células dispersas em uma matriz extracelular, que pode ser de consistência gelatinosa a rígida, dependendo do tipo de tecido conjuntivo.
O tecido conjuntivo tem diversas funções, como sustentação, preenchimento, defesa do corpo contra infecções, transporte de substâncias e reparo de tecidos. Está presente em todo o corpo, conectando e suportando órgãos, vasos sanguíneos, músculos e nervos.
Tecido muscular
O tecido muscular é composto por células especializadas, contráteis e alongadas: as fibras musculares.
É responsável pelos movimentos do corpo, como a contração e relaxamento musculares. Sem o tecido muscular, funções como batimentos cardíacos ou qualquer tipo de função motora seriam impossíveis.
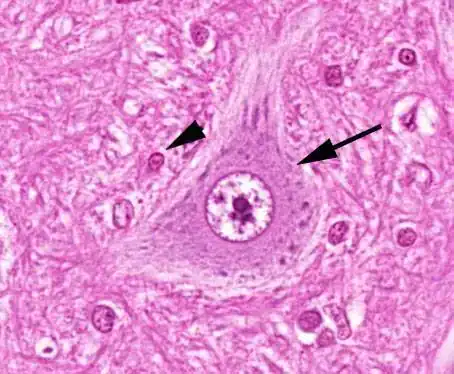
Tecido nervoso
O tecido nervoso é composto pelos neurônios e células da glia. As funções desempenhadas pelo tecido nervoso ocorre devido ao trabalho em conjunto.
Os neurônios possuem um corpo celular (soma) que contém o núcleo, onde estão localizadas as informações genéticas. Além disso, eles possuem prolongamentos especializados: dendritos, que recebem sinais de outros neurônios ou de receptores sensoriais, e um axônio, que transmite o sinal para outras células.
Técnicas de coloração para visualização dos tecidos: histologia aplicada
No estudo da histologia, a fim de se obter imagens nítidas e de boa qualidade, técnicas de coloração são essenciais. Assim, a identificação de estruturas histológicas são possíveis.
Devido a isso, a gama de possibilidades é muito grande. Observemos algumas delas:
- A técnica mais conhecida é a de coloração Hematoxilina e Eosina (HE). A hematoxilina cora o núcleo das células em tons de azul/roxo, tornando-os facilmente visíveis. Ele é um corante básico e, portanto, cora estruturas ácidas. O eosin cora o citoplasma e as estruturas ácidas em tons de rosa, permitindo a visualização de detalhes citoplasmáticos e da matriz extracelular. Por ser um corante ácido, cora estruturas básicas.

- Já a coloração Tricrômica de Masson é usada para destacar o colágeno, fibras musculares e outras estruturas com grande quantidade de colágeno. A coloração inclui os corantes azul anilina, vermelho fúcsia e laranja de metilo, que dão cores características aos diferentes componentes teciduais.

- A coloração de Prata (método de Golgi) é usada para a visualização de neurônios individualmente, junto com suas projeções. É realizada uma impregnação seletiva de neurônios com os sais de prata. Somente após isso o neurônio se torna visível à luz do miscroscópio.

Estratégias de estudo para aprender efetivamente a Histologia
Estudar histologia pode parecer um desafio para muitos. No entanto, compreender com qualidade os temos relacionados à disciplina requer dedicação, prática e organização do estudante.
A histologia é uma disciplina altamente visual. Assim, use imagens microscópicas, ilustrações e modelos tridimensionais para ajudar a entender as características e estruturas dos tecidos. Se tiver acesso a lâminas histológicas, pratique a identificação dos tecidos sob o microscópio. A prática com lâminas reais é valiosa para o desenvolvimento da habilidade de identificar os tecidos na prática clínica.
Uma outra estratégia que favorece a retenção de conteúdo a longo prazo é o uso de flashcards. Assim, você pode ser testado durante o estudo, exatamente como acontecerá na sua prova.
Elabore esquemas e diagramas para visualizar as relações entre os diferentes tecidos, órgãos e estruturas. Desenhar as estruturas ajuda a memorizar e compreender melhor os conceitos. Com isso, relacionar os conceitos histológicos com a fisiologia do corpo humano se tornará algo mais prático. Compreender como a estrutura dos tecidos influencia sua função ajuda a solidificar o conhecimento.
No entanto, lembre-se de que a histologia oferece uma visão mais abrangente de algumas patologias. Por isso, procure entender sua relevância clínica. Pergunte-se como esse tecido está relacionado com a função de órgãos específicos e como ele pode estar envolvido em doenças ou condições médicas.
Principais assuntos abordados nas provas de histologia
Se preparar bem para a sua prova de histologia só é possível tendo, antes, noção do que é mais discutido nas avaliações.
Como comentamos, a principal habilidade que o estudante precisa desenvolver ao estudar a histologia é a correlação clínica. Por isso, é necessário um estudo detalhado da histologia de órgãos específicos, como coração, pulmões, fígado, rins, pele, intestino, entre outros.
Ainda, outros conteúdos que certamente poderão estar presentes são:
- Principais tipos de tecidos, como falamos ao longo do texto, suas características e funções;
- Conhecer a histologia do sistema imunológico, como tecidos linfoides, linfonodos e baço;
- Relação entre as alterações histológicas e as doenças, identificação de células neoplásicas, entre outras questões relacionadas à patologia histológica.
- Histologia e outras áreas da medicina, não apenas a anatomia, mas com a fisiologia, patologia, entre outras ciências médicas;
- Interpretação de lâminas histológicas, correlacionando a estrutura com a função e relevância clínica.
Ter bons materiais de estudo certamente acrescentarão muito na qualidade do seu estudo. Por isso, pesquise por atlas (especialmente onlines) de lâminas histológicas para facilitar sua interpretação do conteúdo.
Caso clínico: a histologia na prática médica
Maria Conceição, 45 anos, casada, católica e com o 2º grau completo.
Procurou atendimento médico devido a um aumento progressivo do volume abdominal, ao longo de 8 meses, acompanhado de cansaço e dor abdominal leve. Ela também relatou ter notado uma perda de peso inexplicada nos últimos meses. Maria não tem histórico médico significativo, exceto por hipertensão controlada com medicação.
Exame físico
Ao exame, o médico notou um abdome aumentado, com sensibilidade à palpação na região do lado direito. Não foram observadas outras anormalidades nos exames físicos, incluindo sinais vitais dentro dos limites normais.
Exames laboratoriais
- Hemograma: Leucócitos dentro dos valores normais, mas discreta anemia leve.
- Bioquímica sanguínea: Função hepática e renal normais, porém elevação das enzimas hepáticas.
- Marcadores tumorais: Níveis elevados de CA 19-9.
Exames de imagem
- Ultrassonografia abdominal: Revelou a presença de uma massa sólida no fígado, com cerca de 6 cm de diâmetro, localizada no lobo direito.
- Tomografia computadorizada (TC) abdominal: Confirmou a presença de uma lesão hepática no lobo direito do fígado, mostrando características sugestivas de um tumor hepático.
Diagnóstico e Abordagem Histológica
Diante dos achados clínicos, de laboratório e de imagem, a suspeita de um tumor hepático é alta. Para confirmar o diagnóstico e determinar o tipo específico de tumor hepático, é necessária a realização de uma biópsia hepática.
Procedimento de Biópsia
Maria é submetida a uma biópsia percutânea, na qual uma agulha é inserida através da pele até o tumor no fígado, para obter uma amostra de tecido para análise histológica.
Análise Histológica
A amostra de tecido hepático é enviada ao laboratório de patologia, onde é processada e preparada para análise histológica.
Através da microscopia, o patologista identifica células neoplásicas que se assemelham a células epiteliais glandulares, formando estruturas chamadas de “cordões de células” e “estruturas tubulares”.
Além disso, o patologista observa a presença de mucina extracelular no interior dessas estruturas. Com base nessas características histológicas, o diagnóstico é de um carcinoma hepatocelular, uma forma comum de câncer primário do fígado.
Discussão
O carcinoma hepatocelular é uma neoplasia maligna do fígado, que pode ocorrer em pacientes com fatores de risco como hepatite crônica, cirrose hepática e consumo excessivo de álcool.
A análise histológica desempenha um papel fundamental no diagnóstico preciso e na determinação do tratamento adequado para Maria. Com base nessa informação, a equipe médica pode discutir as opções terapêuticas, incluindo cirurgia, quimioterapia, radioterapia ou terapias-alvo, dependendo do estágio da doença e do estado geral de saúde da paciente.
O estudo histológico é essencial na prática médica, fornecendo informações valiosas para o diagnóstico, tratamento e prognóstico de diversas doenças, incluindo o câncer. O caso de Maria ilustra como a histologia pode ser usada na prática clínica para o benefício do paciente, permitindo uma abordagem personalizada e baseada em evidências para o tratamento de condições médicas complexas.

Posts relacionados
- Resumo de histologia do Tecido Ósseo: fisiologia, matriz e tipos
- Inflamação granulomatosa: uma aliada na busca do diagnóstico | Colunistas
- Resumo sobre a Vulva: anatomia, histologia, semiologia e mais!
- Resumo sobre o Núcleo Celular e seus principais componentes
Perguntas frequentes
- O que é a Histologia?
A Histologia é a ciência que estuda a estrutura microscópica dos tecidos e órgãos do corpo humano e de outros seres vivos. - Qual é a principal técnica de coloração usada na Histologia?
A coloração mais comum é a Hematoxilina e Eosina (HE). - O que é possível identificar através da análise histológica de uma biópsia?
A análise histológica permite identificar alterações celulares e estruturais, diagnosticar doenças e orientar tratamentos médicos adequados.
Referências
- Histologia. Museu de ciências da Vida. Universidade Federal do Espírito Santo.
- Prêmio Nobel: dinamite, neurociências e outras ironias. Paulo Clemente Sallet.